
The Smile Team
friendly services
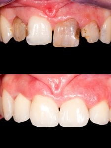
Teeth are quite amazing in terms of withstanding enormous jaw force on a daily basis to repeatedly help us to enjoy our food. Over time, these strong forces from eating that we take for granted can take a toll on the teeth. Teeth can suffer from wear and tear, especially if they have had deca and progressively larger dental restorations. The larger the dental restorations, the less the original supportive natural tooth structure remaining in a tooth, and the more likely that the restoration or remaining tooth structure breaks all of a sudden.
To help protect such weakened teeth, dental crowns act as a helmet to protect and preserve the natural remaining tooth structure. This in turn provides the best chance the tooth has of avoiding a severe break. Crowns are fixed dental restorations firmly secured to a tooth and are sometimes also referred to as caps. Bridges work on a similar basis to crown, and as their name suggests involve the joining together of crowns of the teeth adjacent to a missing tooth to replace the missing tooth.
Beyond simply protecting weakened teeth, dental crowns like dental veneers are also used to improve to improve the colour appearance, shape or alignment of teeth.


The typical dental crown treatment requires an assessment appointment as well as 2 treatment appointments.
Step 1. The tooth under consideration for a dental crown is checked for its health. After all it wouldn’t be very good to place a brand new dental crown on an already infected tooth. A digital x-ray will typically be taken to check for infection.
Step 2. The tooth will be carefully reduced to allow a dental crown to slide over it. After reducing the tooth/teeth, The Smile Team dentist will take an impression to provide an exact mould for the crown or bridge. Using this impression, our Melbourne based dental technician then makes your crown or bridge, in the material your dentist specifies. The colour of the teeth carefully recorded, sometimes with a photograph. We will then place a temporary crown over your tooth during the 2 weeks the crown is being created.
Step 3. Once our technicians have created the crown, we check the fit and colour of the dental crown on your tooth. We then use a strong safe cement to permanently secure the crown onto the tooth. Your new tooth is then ready to be put back to action to help you enjoy your next meal.

Crowns can be made out of a gold alloys, metal alloys, porcelain fused with a metal support structure, or be completely made out of porcelain. Gold alloy crowns are still considered the longest lasting type of crowns, but have fallen out of favour often due to their appearance. Porcelain or ceramic crowns can be matched to the colour of natural teeth and are popular because of this. Porcelain reflects light in a similar way to tooth enamel and are therefore appear highly natural to the eye. Recent advancements in porcelain technology means that the majority of crowns used at The Smile Team are completely in porcelain. We’re more than happy to discuss preferences with our patients and select the most appropriate material that you prefer.
Crown and bridges are subject themselves to strong jaw forces and decay changes over time. We place crowns very carefully with a view to them lasting as long as possible, and at least 10 years. Some crowns at The Smile Team have lasted decades. Teeth with restoration fillings, crowns, bridges typically require more maintenance than a natural tooth. The most important step you can take to ensure the longevity of your crown or bridge is to practice good oral hygiene. A bridge can lose its support if the teeth or bone holding it in place are damaged by dental disease. Keep your gums and teeth healthy by Brushing with fluoride toothpaste twice a day and flossing daily. To prevent damage to your new crown or bridge, take care to avoid chewing hard foods, ice or other hard objects. Patients where above average jaw forces are occurring from grinding or clenching can benefit from a nightguard to protect the crowns and bridges.
We are big supporters of local jobs and industry. We have formed strong partnerships with outstanding Melbourne dental laboratories to deliver predictable lasting quality and optimal product safety. The Smile Team works only with local Melbourne dental laboratories to the highest Australian standards
Did you know that some dental practices send your crown and implant impressions overseas to have them created? The Australian Dental Association has expressed concern in recent years with the use of overseas laboratories to create cheap crowns that may be at risk to being unknown and potentially toxic composition.

“Being able to improve the health and appearance of my patient’s teeth gives them a lot of confidence in comfort, function and aesthetics. I love seeing this transformation.”

“The most rewarding part of being a dentist is being able to create happy smiles and happy people”

“Whether it be to maintain a healthy mouth or a complete smile transformation, I love being a part of my patients journey to achieve their goals.”